Fractura de Acetábulo: Causas, Síntomas y Manejo
El acétabulo es la estructura articular formada a cada lado de la Pelvis (Cada Hemipelvis o Hueso Innominado), por la unión central de tres huesos diferentes: Ilion, el hueso más grande ubicado en la parte superior; Pubis, el hueso de la pelvis situado en la parte anterior, y el Isquion, hueso inferior de la pelvis situado en la parte posterior. El Acetábulo juega un papel fundamental en nuestros movimientos, gracias a él es que la Cabeza del Fémur puede estar contenida y realizar actividades como caminar, saltar y sentarnos.

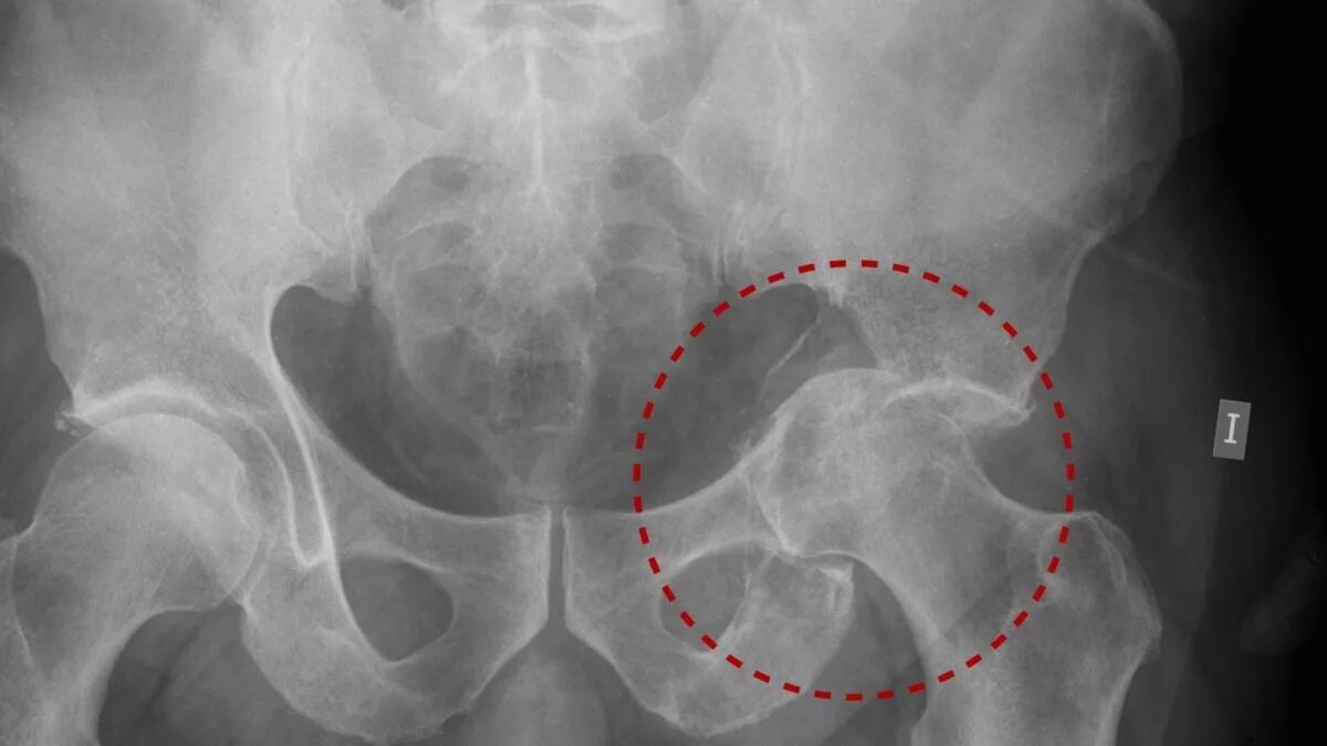
Cuando se presenta una fractura del Acetábulo normalmente implica un mecanismo de muy alta energía, eso quiere decir un golpe o un traumatismo como por ejemplo una rodilla flexionada que se golpea contra el auto en un accidente automovilístico. Este golpe hace que el Fémur se mueva hacia atrás produciendo que se salga de su cavidad, pegue contra los bordes o columnas del Acétabulo y por consiguiente lo fractura. El cartílago de la articulación igualmente recibe impacto, lo cual sumado a la fractura, puede generar en tiempo posterior Artrosis (Osteoartritis).
Síntomas:
Manejo:
Para reconstruir la cavidad se utilizan implantes llamados placas y tornillos colocados estratégicamente dependiendo de los patrones de los trazos de la fractura y lograr que vuelva a contener la Cabeza femoral sin que se vuelva a desplazar.


